Dental Implants for Multiple Front Teeth: Case 3
Description
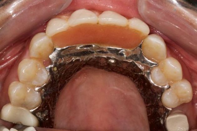
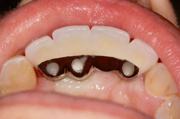
We met this client over her desire to NOT wear a removable bridge the rest of her life. We talked through the challenges and began a long course of treatment with our surgical team to develop a site for three dental implants that we would use to anchor her new four-tooth FIXED bridge. Shown in the photos are both her long-standing bulky removable appliance and the new significantly less bulky fixed implant-supported dental bridge.



