Dental Implants for Multiple Front Teeth: Case 1
Description
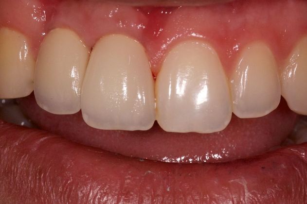
Front teeth find themselves involved in accidents. Fractures are commonly the result. This patient fractured his two front teeth rock climbing. I put the case back together using dental implants as root replacements. Fixed temporaries were employed to prevent the patient from having to wear a removable temporary while healing. Final restorations were individual dental crowns on dental implants.



